GEヘルスケア・ジャパン、Voluson Signature シリーズの最新モデル販売開始
− AI手法を用いて開発したソフトウェアの搭載で必要な情報を迅速かつ効率的に提供、医師の負担軽減を支援 −
- GEヘルスケア・ジャパン株式会社
- 2024年4月18日
医療課題の解決に取り組むヘルスケアカンパニー、GEヘルスケア・ジャパン株式会社(本社:東京都日野市、代表取締役社長兼CEO:若林正基、以下GEヘルスケア)は、産婦人科向け超音波画像診断装置「Volusonシリーズ」の最新モデル「Voluson Signature 20」および「Voluson Signature 18」を2024年4月18日(木)に販売を開始いたします。また、2024年4月19日(金)より開催される第76回日本産科婦人科学会学術講演会にて同製品を初出展いたします。
Voluson Signature 20
日本では、医師の適切な労務管理および健康推進により、質の高い医療を安全に提供するべく2024年4月から医師の働き方改革の新制度が施行されました。この様な国の方針を後押しするべく、GEヘルスケア・ジャパンは、この度、産婦人科医の負担軽減を目指した超音波診断装置「Voluson Signatureシリーズ」2機種の販売を開始します。
GEヘルスケアは、2002年に国内で産婦人科向け超音波診断装置「Volusonシリーズ」を販売開始以来、多くの先生方のご協力を得て周産期・産婦人科分野の診療の正確性と効率化に繋がる様々な革新を続けて参りました。母体はもちろん小さな生命も守らねばならない産婦人科医が直面する課題は多岐に渡り、的確な判断を瞬時に行うことができるよう支援できる機能を搭載した診断装置が求められていました。弊社では現場の先生方の課題をヒヤリングし、多数のインサイトをいただき、新製品の開発に取り組みました。この度販売を開始する「Voluson Signatureシリーズ」は、先生方のニーズに迅速かつ的確に応えるイメージング機能とクリニカルツールを搭載し、より健康な女性の未来の実現を目指します。
Voluson Signatureの特長
■ 新アーキテクチャが得たい情報を迅速に提供
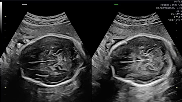
困難な条件においても必要な情報が即座に医師に届けられるように、先進のハードウェアとフレキシブルなソフトウェアを融合させたVoluson Unity Architectureを搭載しました。超音波の原理上どうしても生じてしまう減衰と音響陰影を補うイメージング機能を搭載したことで、医師が判断に迷う時間を低減し、日々の診療をさらに効率化します。
減衰を補うAugmentと、音響陰影を補うShadow Reductionを使用した画像(off/on)
■ 検査の質と効率向上を支援するクリニカルツール:SonoLyst
SonoLystは、ワークフロー改善のためにAI手法を用いて開発されたソフトウェアです。ISUOG(国際産婦人科超音波学会)ガイドラインに準拠し、解剖学的な特徴からスキャン中の描出断面が基準断面にどれほど近づいているかを知らせて医師のスキャンをサポートします。フリーズ後は、ガイドラインの基準断面に即したどの部位であるかを自動認識し、ユーザーに提案し、ユーザーがそれを受け入れると、チェック済項目として保存されます。これにより、胎児スクリーニング検査の効率化と検査クオリティの担保、ユーザーの自己学習の推進に貢献します。
SonoLystを用いた検査画面
Voluson Signatureシリーズは、超音波診断装置のイメージング機能とクリニカルツールの両面から検査の効率化と正確性の向上をサポートし、医師の超音波検査の負担軽減をサポートするとともに女性の健康的な未来への貢献を目指します。
その他、本資料に記載された装置の製品名/薬事販売名/医療機器認証番号は以下の通り:
製造販売:GEヘルスケア・ジャパン株式会社
販売名称:汎用超音波画像診断装置 Voluson Signature 20
医療機器認証番号:306ACBZX00004000
※Voluson Signature 18はVoluson Signature 20の類型です。
販売名称:9Lプローブ 医療機器認証番号:218ABBZX00058000
※9L-Dプローブは販売名9Lプローブの類型です。
販売名称:C1-6-Dプローブ 医療機器認証番号:224ABBZX00168000
販売名称:RAB6-Dプローブ 医療機器認証番号:223ABBZX00096000
GEヘルスケア・ジャパンについて
GEヘルスケア・ジャパン株式会社は、GEヘルスケアの中核拠点の1つとして1982年に創設されました。予防から診断、治療、経過観察・予後管理までをカバーする「プレシジョン・ケア」の実現を目指し、インテリジェント機器やデータ分析、ソフトウェア、サービス等を提供しています。国内に研究・開発、製造から販売、サービス部門までを持ち、日本のお客様のニーズにお応えしつつ、日本が直面する医療課題の解決に取り組んでいます。日本における社員数は約1,500名、本社および60カ所の事業拠点があります。
詳細はホームページwww.gehealthcare.comをご覧ください。
【お問い合わせ先】
GEヘルスケア・ジャパン(株)
コーポレート コミュニケーション
TEL:0120-202-021
- 企業サイトURL
- https://www.gehealthcare.co.jp/
最新ニュース・プレスリリース
- 【GEヘルスケア・ジャパン株式会社】GEヘルスケア・ジャパン、慶應義塾大学病院にてデータ駆動型病院オペレーションの実現を支援 (2024-12-11)
- 【GEヘルスケア・ジャパン株式会社】GEヘルスケア・ジャパン ポケットエコーで実現するこれからの在宅医療について調査を実施 (2024-12-03)
- 【GEヘルスケア・ジャパン株式会社】GEヘルスケア、日本の放射性医薬品のリーディングカンパニーである日本メジフィジックスの株式50%を住友化学から取得し完全子会社化 (2024-12-02)
- 【GEヘルスケア・ジャパン株式会社】GEヘルスケア・ジャパン Point of Care超音波診断装置「Venue™」「Venue Go™」の新バージョンを販売開始 (2024-10-17)
- 【GEヘルスケア・ジャパン株式会社】GEヘルスケア・ジャパンの超音波診断の遠隔トレーニングサービスにNTTコミュニケーションズの映像配信サービスを採用 (2024-10-15)


