高解像度を特長としたPET装置「PositView」を米国で発売 高解像度を活かして認知症の診断や早期介入の研究開発を支援
- 株式会社島津製作所
- 2025年6月30日
島津製作所は、このたび頭部および乳房の検査に特化したPET装置「PositView」の米国食品医薬品局(FDA、Food and Drug Administration)による市販許可を取得し、6月30日から米国で発売します。当社は2021年3月から本製品を「TOF-PET装置BresTome」として日本国内で発売してきました。
PET(Positron Emission Tomography、陽電子放射断層撮影法)は、特定のターゲットに集まる薬剤を体内に投与することで、非侵襲的にアルツハイマー型認知症(以下アルツハイマー病)の原因物質とされる異常蛋白質(アミロイドβやタウ)の脳内蓄積やがんなどを画像化する診断手法です。本製品は、PET検出器ホールが直径28cmであり、全身用PET装置の直径約80cmに比べて小さくすることで、対象部位に近い距離で撮像できます。これによりPET画像の解像度を全身用PET装置の2倍程度まで高めて、高精細なPET画像を提供します。
米国では世界に先駆けてアルツハイマー病の治療薬の投与判断やその治療効果判定において、アミロイドβの脳内蓄積の証明用途でアミロイドPET検査が実施されており、当社は本装置により検査需要に対応してまいります。また、今後のアルツハイマー病の治療件数の増加や研究進展に伴い、アミロイドPET検査の需要はさらに高まるとみられています。加えて、アルツハイマー病のもう一つの原因物質とされるタウタンパク質の脳内蓄積の画像化での利用も想定しています。タウタンパク質は脳内の微小な部位に局所的に集積することがあり、またその蓄積部位と認知症の症状とに相関がある事が知られています。今後のタウタンパク質をターゲットとした治療開発や、その脳内分布の研究進展に伴い、高解像度のPET装置によるタウPET検査の必要性が高まると期待されます。
島津製作所は引き続き本製品の提供を通じて、アルツハイマー病を含む認知症の早期診断やその進行予測の可能性を追求し、発症や進行の遅延を目指す治療の開発や研究に貢献してまいります。
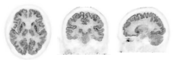
写真:頭部FDG-PET画像
(データご提供:近畿大学高度先端総合医療センターPET分子イメージング部 様)
写真:Clinical Image Gallery Top-Page
(URL:https://www.shimadzu.com/med/pet-imaging-gallery/index.html)
510(k) Premarket Notification
510(K) Number:K240827
Proprietary Name:PositView, SET-5002
https://www.accessdata.fda.gov/scripts/cdrh/cfdocs/cfRL/rl.cfm?lid=900871&lpcd=KPS
- 企業サイトURL
- https://www.shimadzu.co.jp/
最新ニュース・プレスリリース
- 【株式会社島津製作所】画像処理フィルターと大型部品への対応により幅広い分野でのCT撮影を支援 マイクロフォーカスX線CTシステム「inspeXio 7000」を発売 (2025-10-21)
- 【株式会社島津製作所】血液など生体サンプル中の標的成分の分析が可能な臨床向け「Nexera CL LCMS システム」発売 (2025-10-03)
- 【株式会社島津製作所】高解像度を特長としたPET装置「PositView」を米国で発売 高解像度を活かして認知症の診断や早期介入の研究開発を支援 (2025-06-30)
- 【株式会社島津製作所】使用環境を選ばない卓上での創薬研究を支援 卓上型蛍光イメージングシステム「LuminousQuester NX」を発売 (2025-05-07)
- 【株式会社島津製作所】マルチデバイス生体計測システム「HuME」を発売 計画から解析まで生体計測を簡単かつ確実にトータルサポート (2025-04-22)


