ヒト気管支上皮細胞のALI培養用培地「PneumaCult-ALI」新発売!
- 株式会社ベリタス
- 2012年5月14日
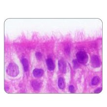
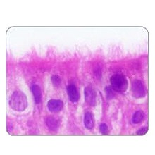
Air-Liquid Interface (ALI)でプライマリーヒト気管支上皮細胞(HBECs)を層形成及び粘膜毛様体分化をさせることができる培地PneumaCult-ALI がSTEMCELL Technologies社より新しく発売されました。他社製品のALI培地及びHBECsの分化方法では層形成が不十分な為、in vivoのヒト気道を模倣するものではありませんでした。PneumaCult-ALIで培養することで優れた層形成及び粘膜毛様体分化を示し、in vivoのヒト気道と同様の形態になります。
また、PneumaCult-ALIは他社の培地に含まれているようなBPE(ウシ下垂体抽出物)を含まない為、不確定要素のない状態で培養が可能です。
※詳細は掲載元をご覧ください。
- 企業サイトURL
- http://www.veritastk.co.jp/
- ニュース・プレスリリース
- http://www.veritastk.co.jp/news.php?id=645



